• hypersphere

    Muscle-Loosening Spheres

    The Hypersphere is a high-tech sphere, developed by Hyperice, that is designed to loosen up soft tissues before and after intense physical activities such as workouts. While most gyms these days offer medicine balls and foam rollers, what makes the ...
  • virtual-reality-hospital

    Virtual Reality Hospitals

    In an exciting and curious recently announced collaboration, we may be a lot closer than we think to virtual reality hospital experiences. A multi-year deal between the Miami Children’s Hospital and Next Galaxy Corporation will see the two collaborate on ...
  • arc_01

    Wrists are so last summer

    Created for everyone from athletes to the elderly, Arc is an innovative twist on the fitness band that fits around the users neck to monitor vitals both internally and externally. It allows both users and medical professionals to track temperature ...
  • mediation-purposes copy

    VR Relaxation Pods

    While there are a number of revolutionary VR applications in the works, one company is taking a unique approach by using the technology for mediation purposes. In short, traditional mindfulness may soon be accessible via a non-traditional medium. The new ...
  • sport-bottle

    Nutrient-Infusing Bottles

    The modern consumer is constantly looking out for ways to both prioritize a healthy lifestyle and efficiency, which are two notions the LifeFuels Smart Sport Bottle adapts seamlessly. Working like a personal assistant for consuming nutrients, the LifeFuels Smart Bottle ...
  • 107176_web_1024

    Our brain’s memory capacity is 10 times larger than we thought

    The human brain’s memory capacity may be as much as 10 times larger than previously thought, according to a new study by scientists in California that looked at how hippocampal neurons in the brain function with low energy but high ...
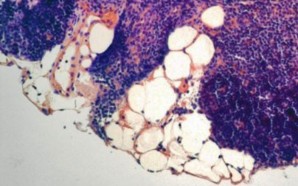
  • 160112093545_1_540x360

    Life-extending hormone bolsters the body’s immune function

    A hormone that extends lifespan in mice by 40% is produced by specialized cells in the thymus gland, according to a new study by Yale School of Medicine researchers. The team also found that increasing the levels of this hormone, ...
  • 1rebel

    Contemporary Boutique Gyms

    Located in London’s St. Mary Axe, this phenomenal gym is the first physical location for recently launched boutique gym brand 1Rebel. The project saw an 8,000-square-foot former office transformed into a luxury gym inspired by a night out with friends ...
  • sand-floor

    Sand-Covered Gyms

    The ‘Baja Body Athletic Club’ covered one of its workout rooms with a sand floor in an attempt of increase the intensity of members’ workouts. The interior of the room was only altered with a sand floor while everything else ...